洪元口腔诊所地址:灵山大街九州材料装饰城

洪元口腔门诊部地址:泰安市唐訾路中段144号

利民牙科地址:泰安市唐訾路中段117号

蓝天口腔地址:滕州市北辛中路状元府小区西门北150米路东

牙医帮你算算牙齿账

发布时间:[2018-11-9 9:4:12]    浏览量:2125次

牙齿,跟随咱们少则几年,多则几十年,我们天天都用它们,但有多少人真正关心过它们呢???牙不痛时,没人关心它,痛的时候,又老是骂牙齿不争气,您说这牙齿冤不冤啊?


各位看官,您不妨考虑考虑我的以下几个问题: 


您一年之中,用于洗头发的钱是不是比洗牙的多?头发可以再生,牙却是不能的!! 

您一年之中,换新袜子的次数是不是比换新牙刷的次数多?牙刷使用三个月必须更换,您注意到了吗? 


您一年之中,有很多时间打麻将,斗地主,到处游玩,但就没有过时间去看看牙医吧? 


您是否可以毫不犹豫地花上几百块钱买一双鞋,却不愿花一点钱去买一支好的牙刷呢??一支好的电动牙刷也要几百块!呵呵 


....... 


我再跟大家算一笔帐吧:如果没有了一颗牙,要花多少银子来修复?? 

1)最便宜的,搞颗活动的假牙,中看不中用那种: 
地摊货,会把你的好牙一起整坏的那种,可能就10块钱。
正规医院:至少100-500,看您选的牙的档次 


2)您说活动的不行,要做个固定的,那么至少要做一个桥,也就是两个好牙齿做桥墩,中间做个假牙。要多少银子呢?? 
最差的:300-500可能行了,但好好的牙硬非给改成桥墩了您觉得合适吗 
正规医院:低档的:200-300一颗,3颗就600-900 
中档的:400-1200一颗,3颗就是1200-3600 
高档的:3000-5000一颗,3颗就9000-15000 
当然还有更高档的私人诊所,可能一颗牙要10000大洋以上的! 

3)还有,您说这个不好,要磨掉好牙齿,那么就种一颗吧! 
种牙一颗至少6000-8000,好的要10000-20000!而且一般的小医院和小诊所还种不了! 

为什么这么贵??咱中国自己做不出来好的种植钉啊,让外国人把钱赚了啊!! 

还有,种牙,其实就是在您的骨头上钻颗钉进去,不到万不得已的时候,您大概也不愿意吧??非等到疼的一夜一夜睡不着才去治, 花着大把银子招着罪 要么干脆牙疼就拔,拔到最后面对各种美食只能吃的不香不臭的还一边说牙不好胃也不好.. 

最重要的是,您花再多的钱,弄的假牙始终还是假的!!!您有钱,NB,但您同样买不回原装的牙啊!! 

因此,平时多找牙医检查一下,防患于未然,这才是最重要的!! 

多数牙医的建议:首先,最好有一个熟悉的牙医,就象有个熟悉的理发师一样,每半年找牙医检查一回!必要时,半年到一年洁洁牙,最多也就百八十块钱,还比你十年后花几千块装个假的好!小二不是帮自己拉生意,您牙好了,以后不用看牙了,小二才是真的没生意做了!您说我这是为啥啊,呵呵!! 


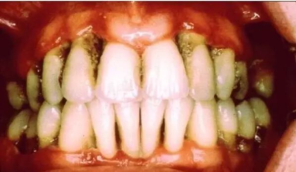
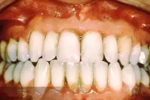
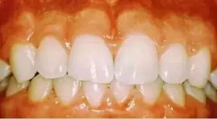
马上拿起镜子,参照以下照片,看看您的牙


这是正常的牙和牙龈



面是有牙龈炎的情况:常刷牙出血,没别的不适!图上看,牙龈有点红,很多人是这种情况!



牙龈萎缩,牙根暴露,才舍得去看医生!



家里有保时捷也换不回来一口健康牙了



朋友,至少您应该象关爱您的脚趾头和头发一样关爱您的牙齿吧!!您给您的脚趾头每年换几双鞋,您也花点时间和精力保养一下您的牙吧!!等您年纪大了,您会感谢我的!!




该文章/视频来自网络,如有侵权请及时联系删除

泰安洪元口腔医院
泰安利民牙科医院
唐訾路店洪元口腔

版权所有:泰安市泰山区洪元口腔诊所 备案号:鲁ICP备18007663号-1 鲁公网安备 37090202000874号 技术支持:诺盾网络