洪元口腔诊所地址:灵山大街九州材料装饰城

洪元口腔门诊部地址:泰安市唐訾路中段144号

利民牙科地址:泰安市唐訾路中段117号

蓝天口腔地址:滕州市北辛中路状元府小区西门北150米路东

月子牙刷”能用吗?牙医亲测告诉你真相

发布时间:[2018-11-13 10:27:16]    浏览量:2365次

传统观念,坐月子不能刷牙、漱口,否则年纪大了之后,牙齿就会酸痛、松动。网上甚至出现了专门的月子牙刷。

坐月子应该刷牙吗?有必要用专门的月子牙刷吗?


洪元口腔告诉您:月子里的产妇也一定要刷牙漱口。怀孕期间雌激素水平较高,再加上有的人坐月子时会经常吃一些甜食,比如红糖水、糖氽蛋等,这会使口腔里的细菌较常人繁殖得更多更快。如果不把口腔清理干净,那么得龋齿、牙龈炎,牙齿疼痛、出血的几率也会比常人更高。


“月子牙刷”能刷干净吗?


这些所谓“月子牙刷”,一般的形式就是木头片上绑一个海绵或者纱布,号称专为产后女性设计,天然无害,无需牙膏,无需漱口即可达到口腔清洁效果。



这种牙刷看似两全其美,实际效果如何呢?牙科医生就此进行了一次实验。


牙科医生验证“月子牙刷”清洁效果

(注:下面的图片可能引起不适)


从网上采购了知名度最高的某款“月子牙刷”,并仔细阅读了说明书。说明书称,“月子牙刷”可以不用牙膏,只需要轻刷牙面,就可以起到清洁牙齿的作用。


为了验证“月子牙刷”去除牙菌斑的效果,医生在实验前两天停止一切口腔护理,并使用牙科的“菌斑染色剂”进行染色,让菌斑在牙面上更明显。


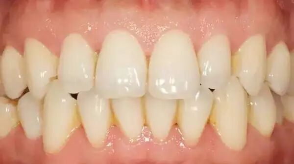
下图为两天没刷牙的状态:



往牙上涂染色剂,涂好以后漱口,剩下的就是染色菌斑:



漱完口,粉色的就是被染色的牙菌斑:



使用其中一种“月子牙刷”,刷右侧:




下图是刷完后:




再用另一种,刷左侧:



这是左侧刷完后:



感觉刷得还比较干净?放大看看:




在最应该清洁干净的牙龈周围,由于海绵和纱布都无法进入,缝隙处还有大量细菌。而且,即使是在光滑平整的牙齿正面,也依然有少量的菌斑残留。


许医生随便换了一把正常的牙刷,使用牙膏刷了几分钟后:



看见区别了吧!这才叫刷牙。



结论:“月子牙刷”无法胜任刷牙的工作



许桐楷介绍,其实不用做实验,单凭“月子牙刷”的材质和外形,就能判断它无法胜任刷牙的工作。


所谓的“月子牙刷”用海绵或纱布代替刷头,刷牙的时候不会刺激到牙龈,以免造成不必要的炎症出血等。


但专家指出,其实没必要一定选择专门的“月子牙刷”,用刷毛比较软的普通牙刷效果也一样。


洪元口腔提醒,怀孕、月子、生二胎、哺乳等任何阶段,都应该使用正常的软毛牙刷配合牙膏清洁牙齿。


洪元口腔建议:产妇刷牙,还是早晚不能各少于三分钟,建议用温水,力度可以稍微轻柔一些。牙刷平时一定要刷头向上竖着放,且放在通风干燥处,以减少细菌的滋生。





该文章/视频来自网络,如有侵权请及时联系删除

泰安洪元口腔医院
泰安利民牙科医院
唐訾路店洪元口腔

版权所有:泰安市泰山区洪元口腔诊所 备案号:鲁ICP备18007663号-1 鲁公网安备 37090202000874号 技术支持:诺盾网络