洪元口腔诊所地址:灵山大街九州材料装饰城

洪元口腔门诊部地址:泰安市唐訾路中段144号

利民牙科地址:泰安市唐訾路中段117号

蓝天口腔地址:滕州市北辛中路状元府小区西门北150米路东

10个孩子里5个长双排牙,医生感叹:都是家长喂出来的

发布时间:[2020-5-31 10:33:28]    浏览量:5047次

当根据经验,

觉得孩子该换牙时,

乳牙迟迟不掉,

不少新爸爸新妈妈不免紧张。

乳牙滞留不脱落是一件麻烦事,

是我们要避免的问题。


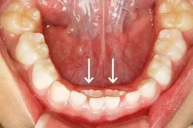
图 继承恒牙已萌出,乳牙未脱落(箭头指示继承恒牙)


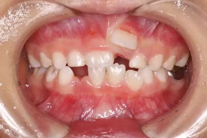
“双排牙的问题现在在临床上很常见,我们碰到每10个小朋友至少有5个存在,有些好一点的乳牙已经松动,而有些厉害的乳牙纹丝不动,只能通过外力拔除。”医生说,之所以会有越来越多的小朋友出现双排牙,其实关键问题就出在家长的喂养方式上,太精细


长在外侧的双排牙


有的小朋友从小就胃口不好,因此在喂养上大人向来非常上心,从6个月添加辅食开始,各种食物都是精心研磨,水果一直都是榨汁,最“偷懒”的也得去皮切块。很少会有机会得用牙齿费劲的咬。


“牙齿就跟肌肉一样用进废退,尤其是小朋友在生长发育阶段,更需要多锻炼。”钱医生说,恒前牙一般都比乳前牙大1/3左右,如果不通过锻炼来促进颌骨的正常发育,恒牙就会因没有足够的空间长而排列不整齐,甚至是出现双排牙。这也就是为什么大家说“小时候牙齿太整齐换牙以后往往不太好看”。



那么什么情况下会造成乳牙滞留呢?


1、饮食过于精细,咀嚼得不到锻炼, 最终恒牙从滞留的乳牙旁边歪着长出来了。


2、如果恒牙胚先天缺失,可使乳牙根吸收缓慢造成滞留,那么小乳牙就不脱落了。


3、继承恒牙萌出无力,乳牙根不被吸收,也容易导致乳牙滞留。


4、如果乳牙根尖周病变破坏牙槽骨使恒牙胚坏死,那么乳牙也可滞留不脱落。


5、恒牙牙胚位置远离乳牙或者继承恒牙萌出方向异常,也可能使乳牙滞留。


6、乳牙根与牙槽骨发生粘连,使乳牙牙根未吸收或吸收不完全,那么就可能不按时脱落。



乳牙滞留会造成哪些危害呢?


1. 乳牙滞留会造成恒牙的异位萌出,影响正常的咬合关系。


2. 先天缺失恒牙胚的滞留乳牙,会造成乳牙下沉,影响咬合关系。


3. 乳牙滞留,影响口腔卫生,食物嵌塞,增加患龋风险


4. 乳牙残根残冠的滞留,损伤口腔粘膜,增加患龋风险。


5. 根尖周破坏严重的乳牙,会影响继承恒牙胚



双排牙到底要不要拔除?


如果乳牙滞留(该掉的年龄没掉),且乳牙下方有恒牙胚存在的话,或者恒牙已经萌出的滞留乳牙及早拔除最好


先天缺失继承恒牙导致的滞留乳牙可不予处理,但是要密切观察滞留乳牙,积极预防龋齿的发生。


如果乳牙已经龋坏严重无法保留或已经脱落者,应做好间隙管理



如何预防孩子出现双排牙?


首先,家长要循序渐进地给孩子吃一些硬度适中、可撕拽的食物。如,可以给孩子啃个苹果,啃甘蔗、玉米、花生等耐嚼的食物,这样做保持对乳牙良好的刺激作用,促使乳牙按时脱落。


家长应该监督孩子,纠正孩子的不良习惯,例如:咬唇、咬舌、吹口哨、咬铅笔等


其次,家长要让孩子培养良好的卫生习惯,定时好好刷牙。少吃甜食糕点,少喝糖分高的饮料,进食后及时漱口刷牙



双排牙拔不拔

要具体情况具体分析

如果家长不确定

建议及时带孩子到口腔诊所、医院诊治





该文章/视频来自网络,如有侵权请及时联系删除

泰安洪元口腔医院
泰安利民牙科医院
唐訾路店洪元口腔

版权所有:泰安市泰山区洪元口腔诊所 备案号:鲁ICP备18007663号-1 鲁公网安备 37090202000874号 技术支持:诺盾网络